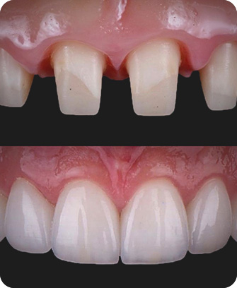
OVERVIEW AND BENEFITS OF CROWNS
Dental Bridges and Crowns are fixed prosthetic devices. Crowns are most often used to cover a space or a damaged tooth or cover with an implant. It can be cemented to natural teeth or implants that surround a space where a tooth once was.
On the other hand, there are dental bridges, which are crowns joined and supported by two teeth or implants at the ends. Like crowns, they serve to cover the space of a single tooth or several dental pieces. The bridge is made up of two parts, the anchor teeth or implants (abutments) and the pontics (bridge or filling teeth).
In addition to improving the appearance, the bridges, and crowns help the alignment and occlusion of teeth. The space left by the lack of a tooth can cause the remaining teeth to move, which can cause a bad bite; bridges and crowns help to avoid these problems.
Last and not least, Crowns and Bridges can last many years if placed on healthy teeth and properly made and maintained. Bridges can last up to 10 years, while crowns last about 20 years.
WHEN IS A DENTAL CROWN NEEDED?
Crowns and bridges must be placed on teeth with healthy structure and roots or, failing that, on properly treated teeth (caries or root canal treatment).
Here are some of the situations in which crowns may be recommended:
- Improve aesthetic appearance: Crowns are an excellent option in those cases in which the patient wants to significantly change the shape, color, or even the position of the teeth.
- Correct the bite: If you do not want to undergo a bracket treatment, crowns can be the best for you, because by removing the surface of the tooth you can work on the complete smile design and correct a misaligned bite.
- Strengthen or repair a severely damaged tooth: If you have some damaged, cracked, or broken teeth, crowns can easily correct these problems.
- Replace a missing tooth: Dental implants fulfill the function of replacing the root of a missing tooth, the crowns serve to cover the superficial space and help to chew.
- Fix dental bridges: The crowns are placed at the ends of the bridge to give the restorative piece more stability.
MOST COMMON TYPES OF CROWNS
Crowns can be made ahead of time (prefabricated) or made to order in a laboratory. Prefabricated crowns are made of plastic or stainless steel. They can be used on a temporary basis until a permanent crown is made. Crowns can be made of: All Metal (gold), Zirconia, Porcelain fused to metal (PFM), Porcelain fused to Zirconia or All Ceramic. However, today we will talk about the most used in countries dedicated to dental tourism.
Depending on aesthetic needs, strength, available restorative space in the mouth, and prices, you can opt for one of the following types of crowns.
PORCELAIN CROWNS
This type of crown is often preferred by patients, due to its appearance and translucency, which makes it look like natural teeth. In addition, it is considered a holistic option for being free of metals. They are the best option for front teeth, they are highly resistant, however, much more fragile than metal and PFM.
PORCELAIN FUSED TO METAL CROWNS
Porcelain fused to metal crowns have a great advantage, since in theory they offer the best of both worlds, the strength of metal crowns and the appearance of porcelain crowns. It is used on both front teeth and molars. One of the disadvantages of PFM crowns is the dark line near of the gum that corresponds to the metal inside.
GOLD DENTAL CROWNS
Gold crowns are a type of metal crowns, there are also titanium, nickel, palladium and chrome. They are normally used on molars, as they are highly resistant and durable. Its main disadvantage is the color, as it is far removed from the natural aesthetics of the tooth. Metal crowns are usually the most expensive option.
DENTAL TOURISM COST OF CROWNS
| Country | Porcelain Crown in USD (per tooth) | PFM Crown in USD (per tooth) | Gold Crown in USD (per tooth) |
|---|---|---|---|
| Dental Crowns in USA | $800-$3,000 USD | $500-$1,500 USD | $600-$2,500 USD |
| Dental Crowns Cost in Mexico | $450-$600 USD | $200-$600 USD | $400-$700 USD |
| Dental Crowns Cost Costa Rica | $400-$600 USD | $395 USD | N/A |
| Dental Crowns Cost Colombia | $400 USD | $357 USD | $400 USD |
| Dental Crowns Cost Turkey | $100-$250 USD | $80-$130 USD | $100-$250 USD |
| Dental Crowns Cost India | $122 USD | $98 USD | N/A |
TRANSFORM YOUR SMILE AFFORDABLY!
FULL SET OF CROWNS COST
A restoration that goes from 6 to 20 pieces is called Full Set. These packages handle implants, veneers, and of course, crowns. The total number of crowns the patient has left over, however, the most common sets are 10 and 20 pieces.
Normally this type of multiple restorations obeys a full mouth restoration and therefore, dental clinics reduce their prices even more in these cases.
| FULL SET OF CROWNS IN MEXICO | |
|---|---|
| 10 Crowns | From $4,500 USD |
| 20 Crowns | From $12,000 USD |
| FULL SET OF CROWNS IN DOMINICAN REPUBLIC | |
| 10 Crowns | From $5,000 USD |
| FULL SET OF CROWNS IN COLOMBIA | |
| 10 Crowns | From $4,900 USD |
PLACING A CROWN – FULL PROCESS EXPLAINED
Your dentist will check your general health and oral health, specifically the condition of your teeth. At this time, you should talk to him about the design that best suits you, according to your factions and tastes. In the event that the teeth on which the crowns will be placed present very deep cavities, the dentist will first take care of resolving this situation.
Next, the specialist will prepare your teeth to receive the new crowns. For this, you will be given local anesthesia in the area to be treated, to later begin with the filing of the teeth. The filing, in addition to being painless, must be quite pronounced to be able to place the adhesive and the new dental piece.
Then the dentist will take an impression of the teeth to be able to make the mold with which the crowns will be created. Once ready, it will be sent to the laboratory and during this process, which can last a few hours or a couple of days, the specialist will place temporary crowns to avoid the sensitivity and discomfort that filing can generate.
The second part will continue once the final prostheses have been completed. First, the dentist will test that the crowns fit perfectly in size and color. If so, he will proceed to disinfect the area and finally place the crowns.
WHAT IS A DENTAL BRIDGE?
A bridge is mounted on a space where teeth are missing and attached to a tooth or implant. Its teeth known as pillars have the function of anchoring for the bridge, a replacement tooth, known as a pontic is attached to the crowns that cover the pillar, just as crowns also have the option of materials for bridges.
DIFFERENCES BETWEEN DENTAL CROWNS AND VENEERS
If you’ve made it this far, you’re probably curious about the differences between dental crowns and veneers. Both treatments can enhance the appearance of your teeth, but there are some important factors to consider when choosing between them.
- Dental crowns are like little caps that go over damaged teeth to protect and restore them. They’re tough and long lasting, making them a great option for teeth that need a lot of work.
- Veneers are thin shells that cover the front of your teeth to give them a new look. They’re great for fixing minor issues like discoloration or chips and can make your smile look brighter and more uniform.
If you’re considering dental tourism to save money on your treatment, crowns might be a better option for you. They’re typically more affordable than veneers and have a high success rate. Plus, they’re designed to withstand everyday wear and tear, so you can enjoy your new smile for years to come.
Ultimately, the best treatment option for you will depend on your unique needs and goals.











