WHAT PROBLEMS CAN I FIX WITH DENTAL VENEERS?
Dental veneers are thin layers of porcelain, zirconia, or composite resin used to give a better look to natural teeth, thus improving the smile and self-esteem of patients.
They are designed according to the physiognomy of each patient to fit perfectly on every single tooth, looking always to keep an aesthetic and natural appearance.
Veneers create a durable and pleasing smile for severely discolored, chipped, or misshapen teeth. Plus, this dental treatment is difficult to stain, making them popular for people seeking a perfect smile. Veeners also solve problems such as Teeth with gaps in between.
Skip the expensive and time-consuming orthodontic treatment and opt for dental veneers instead. Dentists attach rows of 4, 6, or 8 veneers to your upper front teeth to camouflage a crooked smile.
GUIDE CONTENTS
- Chapter 1: Types of Veneers & Procedures
- Chapter 2: Veneers Cost Abroad
- Chapter 3: Best Countries for Veneers
- Chapter 4: Photos & Porcelain Abroad Reviews
- Chapter 5: Tips for your veneer Journey
MOST REQUESTED TYPES OF VENEERS ABROAD
Currently, the most popular veneers are porcelain veneers, regularly most tourists travel for this specific type of veneer, however, it is essential that as a patient you know all your options and the characteristics of each before making a decision.
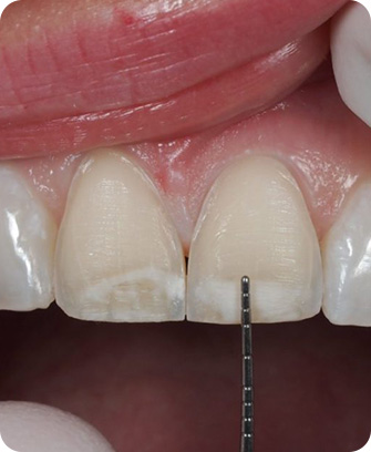
The procedure of getting Dental Veneers Abroad
The first part of this process consists of evaluating the current condition of the teeth in order to give way to the digital smile design. Subsequently, the dentist will remove a small part of the surface of the tooth (no more than 0.5 millimeters), this will allow the proper placing of the veneers. During your first visit, the dentist will take an impression of your teeth to send to the laboratory for the manufacture of your veneers according to the design. If they cannot complete the process on the same day, the dentist will provide temporary veneers for your use until they finish your permanent veneers.
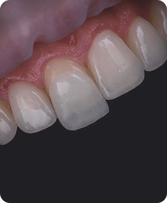
The second phase consists of testing and placement of the final veneers. Once you try them on and approve them, the dentist will place a special cement on your prepared teeth on which he will place the veneers. Finally, the specialist will focus on ultraviolet light to harden the cement. One of the advantages offered by dental tourism is the optimization of work times. Regular placement of veneers is usually carried out in 2 visits, but depending on the case and the patient’s itinerary, it can be reduced to a single visit.
HOW MUCH DO PORCELAIN VENEERS COST ABROAD?
When evaluating the financial considerations involved in obtaining dental veneers abroad, it is imperative to spotlight Mexico, Colombia, and Turkey due to their substantial market share in this specific dental procedure. Mexico stands out for its cost-effectiveness and geographical convenience for North American patients, offering a balance of affordability and quality. Colombia, accentuating its prominence in dental tourism, extends services characterized by economic viability and high quality dental services. Turkey differentiates itself by merging economical pricing with premium quality, establishing a distinctive stature in dental tourism.
In each of these nations, the cost structures are meticulously developed to encompass not only the procedural expenses but also to assure adherence to elevated standards of dental practice, rendering them preferred destinations for those pursuing superior dental veneers while maintaining fiscal prudence.
VENEERS COST ABROAD: MEXICO, TURKEY, COLOMBIA, COSTA RICA
| Country | Veneers cost in USD (per tooth) | Veneers cost in EUR (per tooth) |
|---|---|---|
| Veneers cost in United States | $1,500 USD | 1,400€ |
| Veneers cost Mexico | $450-$600 USD | 419€-560€ |
| Dental Veneers Costa Rica Cost | $350-$550 USD | 326€-512€ |
| Veneers cost Colombia | $490 USD | 457€ |
| Veneers cost Thailand | $350-$450 USD | 326€-420€ |
| Veneers cost India | $290 USD | 270€ |
HOW DOES DTA HELP YOU AS A DENTAL TOURIST?
FINDING THE BEST COUNTRY FOR VENEERS
Here is the best ones destinations for dental veneers abroad, each blending unparalleled dental expertise with unique cultural experiences
ACTUAL CASES OF VENEERS ABROAD PATIENTS
CERTIFIED DENTAL CARE NETWORK, CAREFULLY SELECTED PARTNERS
We have a wide list of certified specialists around the world. So you can find your dentist in Cancun, San Jose, New Delhi, etc. Our priority is your well-being and safety.
PORCELAIN VENEERS ABROAD REVIEWS
We have a wide list of certified specialists around the world. So you can find your dentist in Cancun, San Jose, New Delhi, etc. Our priority is your well-being and safety.
CONSIDERATIONS BEFORE CHOOSE A CLINIC FOR VENEERS ABROAD
Choosing a dental clinic abroad will not be a task to be taken lightly, the decision must be accompanied by thorough research. Although savings, for obvious reasons, should be one of the priorities, it is important to remember that staying with the lowest price can be a very good opportunity or a monumental mistake. Before booking with any dental clinic, take the time to review the following:
- Research any clinic’s experience, ratings, reviews, and history so you don’t get any nasty surprises.
- Not all countries have the same quality standards, so there may be things that could be better but there are things that are not under discussion. Always, the installations must be neat and impeccable, and the place needs to have a proper sterilization area.
- Wanting to explore the other side of the world is all very well, however, if any complications arise how long would it take you to return home? Remember the destination is important.
- Take into account the extra expenses, usually, the prices of dental treatments do not include additional ones, such as anesthesia, temporary, etc.




















